Pixel Level Analysis
The foundation of the multiplexed imaging analysis suite provided by rakaia is toolbox of features associated with pixel level analysis. These features include components and processing steps that allow users to make one or additive multiplexed images for one or more ROIs in a session. Using a variety of customizable inputs, users can generate publication-worthy ROI images using a combination of image filtering, scaling, and recolouring.
Image representation using rasterization
rakaia represents channel images using rasterisation, which involves the conversion of greyscale arrays into RGB 3-channel formats. Internally, rakaia will store the raw 2D greyscale arrays for every channel in an ROI during blending, and will also make a cache of each channel as it is modified for the canvas. The conversion from greyscale to RGB format is necessary for the additive coloured blend to occur. Basic information about storing greyscale and RGB images in numpy can be found here.
Channel modification
Each channel for the current canvas blend should be selected in the Channel selection dropdown menu. If a channel has been added to the blend, it is available for selection under the Channel modification sidetab, adjacent to the canvas:

The most recently selected channel will automatically populate this dropdown selection, and users can toggle among channels to alter their properties. Toggling between channels will auto-update the various input widgets with any previously selected channel parameters, if they exist. These parameters are described below.
Recolouring
The most basic channel alteration involves recolouring the greyscale channel with an RGB colour. Users can select one of the 7 pre-selected standard colours from the box colour swatches under this menu, or select any of the colours available inside the colour wheel. Recolouring the current channel will apply the colour while retaining the relative brightness and pixel intensity of the underlying image. Below is an example of applying a blue recolour to a DNA channel:

Scaling
rakaia provides a pixel intensity range slider just below the colour wheel, where users can adjust the pixel intensity and filtering of the pixels that are shown in the selected channel. The range slider consists of both an upper and lower bound:
- lower bound: This value represents a minimum threshold, where pixels below this value are not shown (cast to 0). The lower bound can help to eliminate background noise and remove the visibility of low intensity pixels, resulting in cleaner signal for higher intensity pixels
- upper bound: The upper bound represents the value at which pixels should be scaled up towards the maximum RGB intensity value of 255. Reducing this value will increase the number of pixels that reach maximum intensity, as it allows more lower intensity pixels to be scaled up. An upper bound value of 1 will scale all pixels up to 255 and represents the maximum saturation of signal available, whereas a larger bound (such as the array maximum) will produce very little visible signal.
Below is an example of a DNA channel that has been scaled up from a high upper bound (first image) to a smaller upper bound (second), indicating how signal can be amplified and saturated by reducing the image upper bound. Note that in the sidebar, the upper bound on the range slider has been reduced in the second image relative to the first:


The interpretation of the lower bound is: at this value in the raw image array, everything equal or below it should be 0, and everything above it should be shrunk towards 0 relative to the upper bound
The interpretation of the upper bound is: at this value in the raw image array, everything at or greater than it will be fully saturated at full RGB intensity, and the RGB intensity of everything below it will be imcrementally lower, relative to the lower bound
A defining characteristic of rakaia is that specifying the thresholds for a channel allows those thresholds to be transferred/applied to all ROIs in the session, which facilitates more standardised comparisons of variation and signal intensity across ROIs in a cohort or large dataset. This is particularly useful when combined with multi-ROI analysis. See this article on ROI querying and browsing for more information.
Channel pixel histogram
For every channel in the current canvas blend, users have the option of toggling open or closed a pixel histogram of the raw pixel signal for that specific channel array, which facilitates selection of appropriate scaling thresholds for both the lower and upper bounds:
![]()
The range of the threshold slider should approximately match the span of the histogram (as shown above), so modifying the range slider values based on the histogram distribution can facilitate more appropriate bounds per channel.
Using Show/hide pixel histogram with toggle the visibility (default is not shown). If the histogram is open, it will be updated on a channel focus change or ROI change.
Filtering
rakaia provides two types of image filtering for individual channels, median and gaussian filtering. Individual filters for each channel can be applied using the checklist directly below the pixel intensity slider. More information about median and gaussian filtering on images can be found here
Named marker combinations
Users may wish to create sub-groupings of related markers for visual comparison, such as different groupings of overlapping immune antibodies, and be able to rapidly toggle among them in the canvas. To enable this, users can create named blends under Configure, annotate, measure, & more -> Marker/blend -> Set blends. Here, the current markers in the canvas can be saved under a unique name, and selecting a blend combination under Load blends will switch the main canvas to the channels in that grouping, such as toggling between CD8 and CD4:

These blends can also be applied in the Dataset gallery when browsing multiple ROIs simultaneously. Please visit this article for more information.
Canvas configuration
The main canvas will automatically update to show the RGB additive image of the channels that have been currently selected with their modifications. In this way, users can create customized blends of multiple markers overlaid together:

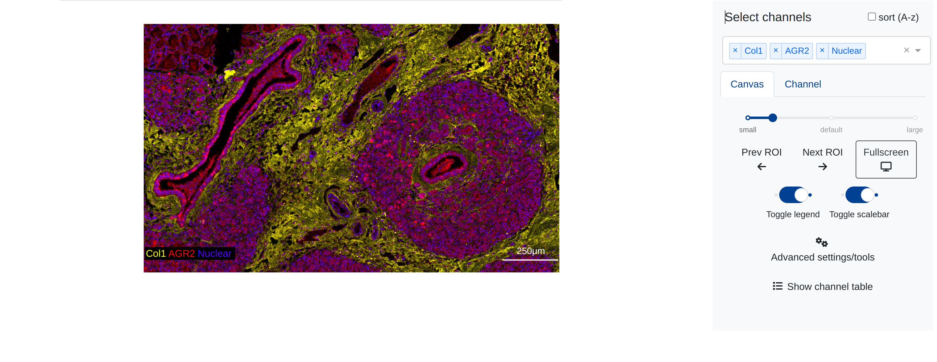
The canvas will contain the underlying blended image as well as annotations and shapes that are overlaid on top of the blend. By default, this will include a scalebar and legend with the labels of the channels in the blend, coloured by their blend colour.
There are a variety of customizations that the user can make the to the appearance of the canvas, many of which are available by clicking the Configure, annotate, measure, & more button in the channel modification menu. This will open a collapsible side panel with several inputs to change the visual parameters of the canvas:

Scalebar and legend
By default, rakaia will generate a scalebar that is 10% of the width of the image. This value can be changed under the Configure, annotate, measure, & more button in the channel modification sidebar by adjusting the value under Scalebar length (unzoomed). It can also be made larger or smaller relative to the underlying image using Adjust legend/scale size, or hidden by adjusting the Toggle scalebar widget.
THe canvas legend will include a list of the labels of the current channels, with the lettering recoloured to the colour of the channel in the blend. Similarly to the scalebar, the legend can either be made larger or smaller, or hidden using the toggle. These inputs are found in the Configure, annotate, measure, & more sidebar:

Scalebar resolution
The default pixel resolution in µm/pixel is set to 1. When using different technologies, the pixel resolution could be different, so the scale bar ratio should be changed to reflect different resolutions (i.e. some modes of Imaging Mass Cytometry are run at 5 µm/pixel). Users should be sure to check or set the proper pixel ratio for the scalebar if the image is to be exported with the scalebar for publication. This can be set under Configure, annotate, measure, & more -> Canvas -> Scale ratio. Rakaia DOES NOT check every ROI for the resolution value, as sometimes this information is not provided in the uploaded file (such as a standard tiff).
Canvas sizing
rakaia will automatically detect the input dimensions and aspect ratio (pixel width/height) of the current ROI and adjust the parameters of the canvas accordingly so that the ROI will fit in the viewport. The user can freely change the proportion of the canvas area that is comprised of the image by adjusting the canvas size using the Canvas size range slider:

Export & saving images
Images can be exported in either RGB TIFF or HTML format from the input side tab (Import/Export -> Export -> Download images/configurations). The TIFF version of the image will export as a uncompressed, full resolution blend, but without the legend and scalebar, as those elements are canvas-specific and projected on top of the blend. Exporting as HTML gives an exported canvas component that matches identically the canvas view in the application, which retains the scalebar and legend.
It is highly recommended to disable any hover templates such as channel values or mask IDs in the canvas before exporting to HTML, as these uncompressed hover template can significantly increase the size and time needed to create the export. Please visit hover template performance for more information.
Users can also simply screenshot the current canvas to get a high resolution version of the image in PNG form complete with annotations.
Saving & recreating sessions
Users may also wish to export the blend parameters that they have manually set for every channel in the current session (including pixel thresholds, choice of filter, color, etc). Exporting the session as JSON (Download images/configurations -> Session parameters (JSON)) allows a creates a basic flat file to be saved locally that retains all of the custm parameters set in session. This file contains:
- specified blend parameters for every channel processed (colour, lower and upper intensity bounds, filter)
- a list of the channels in the current canvas blend
- Mask blend parameters such as opacity etc.
- Gating and Overlay projection variables.
This file can then be re-imported into a future session (under Step 2: Optional imports -> Choose or drop blend/session parameters) to exactly re-create images from the same dataset, or a new dataset that shares the same panel.
Image export checklist
When exporting publication-ready images from Rakaia, users should always check the following image elements:
- That a properly sized channel legend and scalebar are included, if required
- If using a scalebar, ensure that the resolution is properly set for the image in micron/pixel. See above.
- If desired, that an HTML version of the export is also made.
- If exporting in HTML format, that any of the hover templates are turned off, as these will gretaly increase the size and time needed to export.